Our X–ray service is the latest in the industry: our machines could churn results faster than ordinary X–ray equipment; they are also safer for your child because they offer 80% less exposure to radiation.
The importance of panoramic X-ray
Panoramic x–ray serves as an important evaluation tool and helps in diagnosing dental anomalies which may be undetected during a routine dental exam.
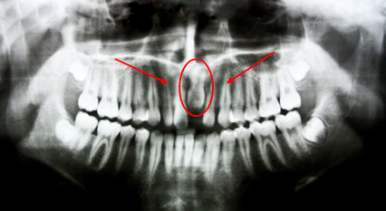
Samples of panoramic x–rays
*This is a panoramic x–ray of an eight–year old patient with odontoma. Odontoma was surgically removed and tooth was orthodontically pulled out.
*This is a panoramic x–ray of a six–year old patient with an extra inverted tooth which was surgically removed to close the gap of the incisor.
*This panoramic x–ray shows an impacted central incisor which is dilacerated or has a bent root that needs to be surgically and orthodontically pulled out.
